Upgrade to Pro — share decks privately, control downloads, hide ads and more …

Nuclei segmentation with CNNs

Sponsored · Your Podcast. Everywhere. Effortlessly. Share. Educate. Inspire. Entertain. You do you. We'll handle the rest.

Nuclei segmentation with CNNs

Avatar for Sanuj Sharma

Sanuj Sharma

March 10, 2017
Tweet

Other Decks in Science

Transcript

  1. NUCLEI SEGMENTATION WITH CNNS Sanuj Sharma IIT - Guwahati With

    Surabhi Bhargava and Prof Amit Sethi Special Thanks to: Abhishek Vahadane and Neeraj Kumar
  2. Goal Detect and segment nuclei in medical images. IIT -

    Guwahati Touching, overlapping and occluded nuclei Motivation Useful features can be extracted which help in prediction of cancer occurrences like breast, prostate cancer: • Number of cells • Orientation, shape and arrangement of nuclei • Density
  3. IIT - Guwahati Previous work Watershed, graph-cuts algorithms Not able

    to deal with diversity and variability in images
  4. IIT - Guwahati DATA • CPCTR data set (prostate gland

    biopsies: 20x images) • TDLU (breast biopsies : 20x images) • REDUCE trial data set (prostate gland biopsies : 40x images)
  5. IIT - Guwahati Color Normalization Target image Original image Normalized

    image Vahadane A, Peng T, Albarqouni S, Baust M, Steiger K, Schlitter AM, Sethi A, Esposito I, Navab N. Structure-preserved color normalization for histological images. In2015 IEEE 12th International Symposium on Biomedical Imaging (ISBI) 2015 Apr 16 (pp. 1012-1015). IEEE.
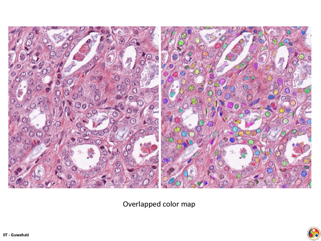
  6. IIT - Guwahati Classify every pixel in the image into

    three classes: ◦ Inside a nucleus Inside-nucleus ◦ Inside boundary of a nucleus Nucleus boundary ◦ Outside of a nucleus Non-nucleus Nucleus boundary Non-nucleus Non-nucleus Inside-nucleus Inside-nucleus Nucleus boundary Nucleus boundary Non-nucleus Window of size 51 x 51 to predict the class of the center pixel. IIT - Guwahati
  7. Probability maps of three classes generated by the CNN: Original

    image Nucleus boundary map Inside-nucleus map Outside-nucleus map White pixels denote high probability. IIT - Guwahati
  8. IIT - Guwahati Future Possibilities • Deep learning is the

    way to go! • Residual neural networks with stochastic depth He K, Zhang X, Ren S, Sun J. Deep residual learning for image recognition. arXiv preprint arXiv:1512.03385. 2015 Dec 10. Huang G, Sun Y, Liu Z, Sedra D, Weinberger K. Deep networks with stochastic depth. arXiv preprint arXiv:1603.09382. 2016 Mar 30.
  9. IIT - Guwahati • Treat it as video labeling problem

    - can use LSTMs, CNN+LSTM, 3-D convolution: Stollenga MF, Byeon W, Liwicki M, Schmidhuber J. Parallel multi-dimensional LSTM, with application to fast biomedical volumetric image segmentation. In Advances in Neural Information Processing Systems 2015 (pp. 2998-3006).
  10. IIT - Guwahati • One shot learning. Santoro A, Bartunov

    S, Botvinick M, Wierstra D, Lillicrap T. One-shot Learning with Memory-Augmented Neural Networks. arXiv preprint arXiv:1605.06065. 2016 May 19.