Upgrade to Pro — share decks privately, control downloads, hide ads and more …

04. Cardiopatías Congénitas

Sponsored · Your Podcast. Everywhere. Effortlessly. Share. Educate. Inspire. Entertain. You do you. We'll handle the rest.
Avatar for Dr. Re Dr. Re PRO
December 06, 2022
11k

04. Cardiopatías Congénitas

Avatar for Dr. Re

Dr. Re PRO

December 06, 2022
Tweet

Transcript

  1.  Niña de 4 años de edad, asintomática, con antecedentes

    de ingreso neonatal durante dos meses por prematuridad. Presenta un buen estado general y de desarrollo ponderoestatural, tiene pulsos arteriales aumentados y se ausculta un soplo continuo en región subclavicular izquierda ¿Cuáles de los siguientes es el diagnostico mas probable? a) CIV b) Tetralogía de Fallot c) Conducto arterioso persistente d) CIA
  2.  ¿Con que nombre característico se denomina al soplo de

    esta entidad? a) Soplo de Rivero-Carvallo b) Soplo mesosistolico posterior c) Soplo de Still d) Soplo en maquinaria o de Gibson
  3. PRINCIPALES CAMBIOS 1. Cierre foramen oval (3 mes) 2. Cierre

    Ductus (10-15hrs) 3. Cierre de conducto Arancio y obliteración de vasos umbilicales
  4.  Afectan 1% RNV  Origen multifactorial (5-10% asociado a

    SX)  Mundo-mundial: CIV  México: Ductus arterioso persistente (DAP)
  5. Siempre hacerse 3 preguntas 1.- es ACIANOTICA o CIANOTICA? 2.-

    Shunt I – D o D – I ? 3. –Flujo pulmonar aumentado o disminuido?
  6. 25-30% +FRECUENTE MUNDO Infancia: Asintomatica Sobrecarga pulmonar derecha Adultos: Hipertension

    pulmonar, insuficiencia cardiaca puede haber eisenmenger PUEDE SER GRAVE DESDE NIÑO (Leve, Moderada, Severa) PULMONAR BAJO pansistolico rudo de alta frecuencia ECOCARDIOGRAMA TRANSTORACICO DOPPLER Cardiomegalia derecha con plétora pulmonar espontaneo 50% >3 años o repercusión hemodinamica severa (HAP) cierre Percutáneo MEMBRANOS 6-8% Infancia: Asintomatica Sobrecarga pulmonar derecha Adultos: Hipertension pulmonar, insuficiencia cardiaca puede haber eisenmenger PULMONAR ALTO sistolico con DESDOBLAMIENTO 2º RUIDO ECOCARDIOGRAMA TRANSESOFAGICO Cardiomegalia Derecha con plétora pulmonar <7mm: cierre espontaneo >7mm y QP/QS >1.5 y >3 años: cierre percutáneo o qx parche pericardio El tipo más es Ostium secundum (6 No deriva de cojinetes TE 6-8% +FRECUENTE MEXICO Infancia: Asintomatica Sobrecarga pulmonar derecha Adultos: Hipertension pulmonar, insuficiencia cardiaca puede haber eisenmenger Pulmonar en “Maquinaria”de gibson Irradiación infraclavicular ECOCARDIIGRAMA No hay DX elección: ECG, EKG y RM Botón aórtico prominente <3mm Sin clínica: cierre espontaneo <3mm Con clínica o >3mm: Cierre percutáneo o qx Prematuros: trata con Indometacin ibuprofeno FR: mujeres prematuros RUBEOLA N 5-7% Disminución y retraso del pulso femoral con el radial/humeral (>10-20mmHg) TA MAYOR EN MIEMBROS SUPERIORES, MAS DESARROLLADOS Soplo aortico mesosistolico en tórax anterior ECG: CTO Aortografia: GPC Muescas de Rósler Signo del 3 Signo “E” (esófago de Bario) El TX elección es quirúrgico y de preferencia antes de los 5 años (2% mortalidad) Dos formas: Preductal o y Posductal adulto A 5-7% Cianosis Acropaquias Retraso en el crecimiento CRISIS HIPOXEMICAS Soplo de estenosis pulmonar que disminuye con las crisis (Pulmonar con chasquido de apertura) ECG/TC/RM para confirmar DX EKG: bloqueo de rama derecha “Zapato zueco o bota” > 6 meses tratamiento correctivo < 6 meses tratamiento paleativo Cardiopatía congénita ci más frecuen año de vida 5-7% Datos de bajo gasto Angina Hipoxemia Cianosis Soplo sistólico en foco pulmonar (Rivero- Carvallo) ECG DOPPLER: confirmar DX EKG: hipertrofia de ventrículo derecho Crecimiento de cavidades derechas y dilatación postestenosis Valvuloplastía percutánea con balón dilatador Dos tipos: Subvalvular: Tetralogía F Supra: asilad CION Cianosis intensa desde el ECG Corazón en huevo u Quirúrgico: Switch de Cardiopatía
  7. CIA CIV DUCTUS Aneurisma de seno aórtico Valsalva Fistula arterovenosa

    coronaria Origen anómalo de la Coronaria izquierda
  8. •Localización: medioseptal •NO deriva cojines endocárdicos •Mas frecuente (60%) Ostium

    secundum •Localización: porción baja septo IA •Derivada de cojines endocardicos •“Forma parcial de Canal AV” Ostium primum •CIA Ostium primum+ CIV basal + Válvula AV común •Flujo libre entre 4 cavidades •Cierto grado shunt D-I y cianosis Canal AV completo •Cerca de la desembocadura Vena Cava (SUP/Inf) •Asociado a drenaje anómalo de las pulmonares •Poco frecuente (10%) “Seno venoso” •Defecto en la pared venosa •Comunicación auricular con Shunt DER-IZQ •Sx Lutembacher 4to grupo seno coronario Defecto en septo I-A Sexo femenino
  9. INFANCIA.- Asintomatica (Puede producir eisenmenger) PULMONES .- Aumenta el flujo

    pulmonar y riesgo de infeccion ADULTOS.- (30-40): Hipertensión pulmonar e insuficiencia cardiaca (Sx Eisenmenger) SOPLO • Primer ruido: fuerte con soplo sistólico pulmonar • Segundo ruido: desdoblamiento amplio y fijo (cierra a destiempo válvula aórtica y pulmonar • Ostium primum: soplo holosistolico de insuficiencia mitral asociada
  10. •TECNICA DE ELECCION •Transtoracica: anatomía de CIA •Descartar CIA tipo

    Seno venoso o Coronario ECOCARDIOGRAMA •Duda DX, estudiar lesiones o HT Pulmonar grave, cierre percutáneo •Salto oximétrico en Aurícula derecha al entrar en ella desde la Vena cava Cateterismo •O.SEC: Eje derecho y bloqueo incompleto de rama derecha •O.PRIM: Eje izquierdo y asociado a bloqueo AV ECG • Signos de plétora pulmonar con hiperaflujo • Dilatación de cavidades derechas y arteria pulmonar RX TORAX
  11. CIA Ostium secundum • Pequeñas <7mm: cierre espontaneo al AÑO

    • TRATAR SI . - relación Qp y Qs >1.5 (>3 AÑOS) • Cierre percutáneo con dispositivo de cierre (Oclusor septal Amplatzer) o Quirúrgico (suturando ó parque pericardio autologo) CIA Ostium primum • Reparación de válvula mitral hendida • Recambio valvular Canal AV común • Intervención precoz antes de los 6 meses • Mortalidad al año: 50%
  12.  GPC: “Presencia de uno o mas orificios en la

    pared que separa los ventrículos del corazón”  Cardiopatía congénita mas frecuente: Mundo  Septo ventricular  Membranoso  Muscular/Trabecular  Infundibular  De entrada
  13. INFANCIA.- Asintomatica (Puede producir eisenmenger) PULMONES .- Aumenta el flujo

    pulmonar y riesgo de infeccion ADULTOS.- (30-40): Hipertensión pulmonar e insuficiencia cardiaca (Sx Eisenmenger) SOPLO Soplo pansistólico y rudo/áspero de alta frecuencia foco pulmonar
  14. • No hay prácticamente repercusión clínica • Soplo pansistólico y

    rudo/áspero de alta frecuencia foco pulmonar Defectos pequeños (CIV Pequeña) • Falla cardiaca izquierda • Insuficiencia aortica • Crecimiento de aurícula y ventrículo izquierdo CIV Moderada • Shunt I-D de alta presión: hiperaflujo pulmonar • Insuficiencia cardiaca desde la infancia • Producen soplo menos llamativo Defectos grandes (CIV Grande)
  15. •Técnica diagnostica (GPC) •Corrobora CIV y evalúa la gravedad Ecocardiograma

    trastorácico Doppler •Hipertrofia biventricular y de auricular izquierda ECG •Cardiomegalia con plétora pulmonar RX TORAX •Alternativa al Ecocardiograma •Ayuda con la anatomía del CIV •Calcular Qp/Qs RM •Salto oximétrico en Ventrículo derecho •GPC: si existe HTPulmonar y Eco Doppler es insuficiente CATETERISMO
  16. Cerca 50% CIV cierran los primeros 3 años de vida

    (musculares) no tratar en menores de 3 años a menos que sea grave Cierre percutáneo > 3 años
  17. Endocarditis Sobrecarga de volumen del VI llegando a insuficiencia cardiaca

    VD con doble cámara Estenosis subaórtica discreta Prolapso de válvula aortica Arritmias y Bloqueo AV Completo
  18.  GPC: Permeabilidad del conducto arterioso posterior a la 6ta

    semana  Aislada o combinada  Coartación aorta  Válvula aortica bicúspide  CIV  CIA
  19. • Antecedentes de hermanos • Alteracion cromosomica 21, 18, 13

    • Rubeola congenita PRINCIPALES • Hipotiroidismo neonatal • Antecedente materno de DMG o Fenilcetonuria • Exposicion materna: busulfan, litio, retinoides, talidomida, trimetadiona, calcioantagonistas, esteroides, antihistaminicos, anticonvulsivos, drogas GPC
  20. INFANCIA.- Asintomatica (Puede producir eisenmenger) PULMONES .- Aumenta el flujo

    pulmonar y riesgo de infeccion ADULTOS.- (30-40): Hipertensión pulmonar e insuficiencia cardiaca (Sx Eisenmenger) SOPLO • Soplo continuo (MAQUINARIA GIBBSON) En foco pulmonar con irradiación infraclavicular. Pulso salton
  21. • Sin soplo, ni datos de HT Pulmonar Silente •

    Soplo continuo audible • Asintomaticos Pequeño Qp/Qs Gasto pulmonar/Gasto sistemico 1.5 • Soplo continuo audible • Intolerancia al ejercicio y disnea de esfuerzo • Desarrollo ponderal anormal Moderado >1.5 – 2.2 • Signos de insuficiencia cardiaca • Hipertension pulmonar Grave >2.2 GPC
  22. ECG • Sobrecarga/Hipertrofia de las cavidades izquierdas RX TORAX •

    Plétora pulmonar y cardiomegalia (izquierdas) • Botón aórtico prominente ECOCARDIOGRAFIA TRANSTORACICA • Confirmar diagnostico Resonancia magnética • Determina la anatomía de la lesión Cateterismo • Cierre con dispositivo
  23. Prematuros • Asintomáticos: cierre espontaneo tardío • Insuficiencia cardiaca o

    SDR que no responde a tratamiento: cierre • Indometacina o ibuprofeno (90% éxito) • 10% restante: intervención CP o quirúrgica Término • Posterga hasta los 2 años sin insuficiencia cardiaca • <3 mm asintomático y sin soplo única indicación de no operar • DAP con soplo y sintomas: indicación de intervención para prevenir endarteritis • Cierre percutáneo (90% éxito) • Quirúrgico: toracotomía izquierda (conductos grandes, muy bajo peso, falla del CP)
  24. • Retraso en el crecimiento • Dificultades en la alimentación

    • Dificultad respiratoria INSUFICIENCIA CARDIACA • Pacientes con Sx Eisenmenger • 6 meses posterior a manejo quirúrgico o dispositivo percutaneo • Defecto residual adyacente ENDOCARDITIS INFECCIOSA • Disnea, cianosis visible, sat <90%, ausencia de soplo, rx sin cardiomegalia HIPERTENSION PULMONAR
  25.  Estrechamiento de la luz aortica  Localización: YUXTADUCTAL cercana

    a subclavia izquierda (+ frecuente) Termino postductal y pre en deshuso  Postductal (Forma del “Adulto”)  Preductal (Forma Infantil por ser mortal)  Hipertension en extremidades superiores > 20mm/hg respecto a inferiores  Asocia  Sx Turner
  26. • Manifestaciones precoces (nacimiento) • Coincide con cierre espontaneo Ductus:

    aumento de poscarga izquierda e IC grave • No sobreviven al periodo neonatal Preductal • Mejor pronostico • Asintomáticos hasta la edad adulta (30 años) • Causa: Hipertension arterial e Hipoaflujo en MPs • Cefalea, epistaxis, frialdad en extremidades inferiores, claudicación intermitente Posductal Sx Shone Afección a todo el arco aórtico (VAB, CoAo, aneurisma aórtico, estenosis mitral)
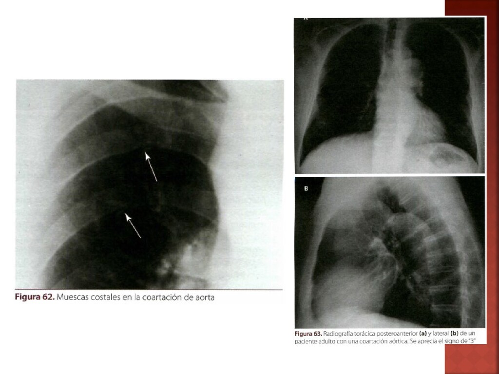
  27. • Disminución y retraso del pulso femoral con el radial/humeral

    Clave • >10-20mmHg Diferencias en presión • Presencia de vasos colaterales postestenoticos • Superficie inferior de las costillas por erosión debido a la tortuosidad de las mismas Muescas de Rösler • Soplo mesosistolico en parte anterior del tórax, espalda y apófisis espinosas • Soplos sistólicos y continuos: vasos colaterales • Latido del ápex intenso Auscultación
  28. •Eje eléctrico a la izquierda •Datos de hipertrofia ventricular izquierda

    ECG •Muescas de Rösler •Signo del “3” •Signo de la “E” (esofagograma con bario) RX TORAX •Útil para dx y seguimiento posterior •Estimar el gradiente existente en el área estenosada ECOCARDIOGRAFIA •Valores hemodinámicos de obstrucción y circulación •Necesaria? ---- INVASIVA •Indicada: coronariografia AORTOGRAFIA
  29. Tratamiento de elección • QUIRURGICO Mejor edad de intervención •

    5 años Supervivencia media sin tratamiento • 40-50 años Neonatos con coartacion preductal: URGENTE • Reseccion del segmento coartado (Crafoord) NO URGENTE: se opera si… • Gradiente de presión transcoartacion es >20-30mmHg • Si existe hipertension arterial • Técnica Crafoord o Waldhaussen (colgajo de subclavia) • Angioplastia con balón (de ser candidato) Mortalidad quirúrgica <5 años: 2% Adulto: 5-10%
  30. Dextro- transposicion de grandes arterias Tronco arterial comun Drenaje venoso

    pulmonar anomalo Sindrome de hipoplasia de cavidades
  31.  Aorta se origina en el Ventrículo derecho  Arteria

    pulmonar se origina en Ventrículo izquierdo  Sexo masculino  Asocia para sobrevivir  CIA  DAP  CIV  SISTEMA DE DOBLE CIRCULACION EN EN,PARALELO
  32. • Es necesario Aumentar defecto Foramen oval y Ductus CIANOSIS

    intensa desde el nacimiento • Normal/sobrecarga ventricular derecha ECG • Hiperaflujo pulmonar • Base cardiaca mas estrecha • “corazón ovalado” HUEVO EN UN HILO RX TORAX • Confirmación diagnostica ECOCG/ANGIO TAC/RM • Atrioseptostomia paliativa CATETERISMO Prostaglandina E1
  33. Sin tratamiento fallecen mas del 90% en el primer año

    de vida Mantener Ductus permeable • Prostaglandina E1 Quirúrgico Atrioseptostomia percutánea de Rashkind • Creación / aumento de CIA Switch arterial de Jatene en un tiempo • ELECCION • Reimplantación de grandes arterias en su lugar correspondiente
  34.  GPC: “desviación antero cefálica del septum de salida; caracterizada

    por…  Comunicación interventricular (CIV)  Estenosis pulmonar (obstrucción del tracto de salida de VD)  Acabalgamiento anterior de la aorta  Hipertrofia de Ventrículo derecho
  35. • Leve: cianosis de esfuerzo (menor edad) • Al año:

    cianosis en reposo • Crisis hipoxemicas 5-6 meses Marcada x grado de Estenosis pulmonar • Cianosis • Acropaquias • Retraso en el crecimiento Signos clínicos • Soplo de estenosis pulmonar con duración e intensidad inversamente proporcional al grado de obstrucción • Disminuye en las crisis hipoxemicas Auscultación
  36. Súbita, con/sin pródromos Mayores de 3 meses Prevalente en las

    mañanas • 15-60 minutos Duración • Hiperventilación, cianosis y disminución del tono muscular. Sincope y convulsiones Clínica • Dolor, ansiedad, irritabilidad, ejercicio, LLANTO, estreñimiento, anemia ferropénica, hipovolemia Factores precipitantes
  37. Manejo • Tranquilizar al paciente • Sostenerlo y colocarlo en

    acuclillamiento/genupectoral • Traslado a centro hospitalario Medicación • Oxigeno por mascarilla • Morfina 0.05-0.2mg/kg/dosis (max 15mg) • Ketamina 1mg/kg/dosis IV lento • Midazolam 0.05-0.1 mg/kg IV (max 5mg) Primera línea de manejo: oxigeno+morfina
  38. • Crecimiento de cavidades derechas • Eje derecho con bloqueo

    de rama derecha ECG • Silueta cardiaca en “zueco o bota” • “signo del hachazo” RX TORAX • Confirmar diagnostico ECOCG/TC/RM • Previo a intervención QX para evaluar estado hemodinamico CATETERISMO
  39.  Crisis hipoxemicas  Administración de oxigeno  Vasoconstrictores (Noradrenalina)

     Posicionamiento del niño  B-bloqueadores (relajar infundíbulo pulmonar)  Intervencion  6 meses de vida (11 meses GPC)  Cerrar la CIV  Ampliar la salida del VD
  40. • Fistula sistémico pulmonar Blalock-Taussing • Aumentar el flujo sanguíneo

    pulmonar • Pacientes sintomáticos menores de 6 meses con anatomía NO favorable • Valoraciones al mes, 3, 6 y 12 meses • COLOCACION DE STENT • Valvulopatía con balón • Parche en tracto de salida de VD Paliativo • Cierre del defecto septal IV • Al menos en el primer año de vida • MAYORES de un año con/sin sintomas y con/sin anatomia favorable • Tasa de mortalidad baja (3%) supervivencia 94% Quirúrgico
  41.  Alteración congénita obstructiva de la arteria pulmonar afectando los

    velos valvulares o a nivel sub/supravalvular  Subvalvular: Tetralogía Fallot  Supravalvular: estenosis aislada  Aislada o asociada  Fisiopatología  Cambio gradiente VD---Pulmonar  Obstrucción al flujo del VD  Hipertrofia compensadora
  42. • Leve y aislada Asintomático • Datos de bajo gasto

    • Angina • Hipoxemia • Cianosis (defecto septal) Signos • Segundo ruido: atenuado con desdoblamiento amplio • Cuarto ruido derecho • “Click” de apertura valvular • Soplo sistólico en foco pulmonar (Rivero-Carvallo) Auscultación
  43. • Hipertrofia de ventrículo derecho ECG • Silueta cardiaca normal

    • Crecimiento de cavidades derechas • Dilatación de arteria pulmonar RX TORAX • Confirmar diagnostico ECOCARDIOGRAFIA DOPPLER
  44.  MANUAL CTO de Medicina y Cirugía, Pediatría, Ed. Grupo

    CTO 2da edición, varios colaboradores, Tomo: Pediatría. Cap. 5 Cardiología Pediátrica, España 2016, versión para México pp. 79-96  MANUAL CTO de Medicina y Cirugía, Pediatría, Ed. Grupo CTO 2da edición, varios colaboradores, Tomo: Cardiología. Cap. 19. Valvulopatía pulmonar, España 2016, versión para México pp.189-190  Guía de practica clínica; diagnostico, tratamiento y complicaciones de los defectos del tabique interventricular en menores de 18 años, CENETEC México  Guía de practica clínica; Diagnostico y Tratamiento de la persistencia del conducto arterioso en niños, adolescentes y adultos, CENETEC México.  Guía de practica clínica; Tratamiento de la Tetralogia de Fallot en edad pediátrica, CENETEC México.
  45. FRECUENCIA CLINICA SOPLO DIAGNOSTICO RADIOGRAFIA TRATAMIENTO DATO CIV 25-30% +FRECUENTE

    MUNDO P: Sin clínica M: Falla cardiaca izq. G:Insuficiencia cardiaca Pansistólico y rudo de alta frecuencia PULMONAR BAJO ECOCARDIOGRAMA TRANSTORACICO DOPPLER Cardiomegalia con plétora pulmonar Cierra solo <3 años: 50% Percutáneo: CIV musculares QX: Qp/Qs >2 Su principal complicación es la endocarditis CIA 6-8% Infancia: asintomática Adulto: IC/HTP Sistólico con desdoblamiento 2 ruido PULMONAR ALTO ECOCARDIOGRAMA TRANSESOFAGICO Dilatación de cavidades derechas <7mm: cierre espontaneo >7mm y QP/QS >1.5: cierre percutáneo El tipo más común es Ostium secundum (60%) DUCTUS PERSISTENTE 6-8% +FRECUENTE MEXICO P: soplo continuo sin cambios hemodinams M: disnea de esfuerzo, HTP leve/mod, cambios hemodinamicos G: Datos de IC, taquipnea, diaforesis Soplo de Gibson o “Maquinaria” Irradiación infraclavicular No hay DX elección: ECG, EKG y RM Botón aórtico prominente <3mm Sin clínica: cierre espontaneo Con clínica: cierre percutáneo >3mm sin/con clínica: valorar para CP o QX Prematuros: se trata con Indometacina o ibuprofeno FR: mujeres, prematuros y RUBEOLA COARTACION AORTICA 5-7% Disminución y retraso del pulso femoral con el radial/humeral (>10- 20mmHg) Soplo mesosistolico en tórax anterior ECG: CTO Aortografia: GPC Muescas de Rósler Signo del 3 Signo “E” (esófago de Bario) El TX elección es quirúrgico y de preferencia antes de los 5 años (2% mortalidad) Dos formas: Preductal o infantil y Posductal en el adulto TETRALOGIA FALLOT }5-7% Cianosis Acropaquias Retraso en el crecimiento CRISIS HIPOXEMICAS Soplo de estenosis pulmonar que disminuye con las crisis ECG/TC/RM para confirmar DX EKG: bloqueo de rama derecha “Zapato zueco o bota” Squatting: Crisis Fistula de Blalock Taussing: paliativo QX: >1 año + anatomía desfavorable Cardiopatía congénita cianótica más frecuente al año de vida ESTENOSIS PULMONAR 5-7% Datos de bajo gasto Angina Hipoxemia Cianosis Soplo sistólico en foco pulmonar (Rivero-Carvallo) ECG DOPPLER: confirmar DX EKG: hipertrofia de ventrículo derecho Crecimiento de cavidades derechas y dilatación postestenosis Valvuloplastía percutánea con balón dilatador Dos tipos: Subvalvular: Tetralogía Fallot Supra: asilada D-TRASPOSICION GDES ARTERIAS 3-5% Cianosis intensa desde el nacimiento X ECG ANGIO TAC RM Corazón en huevo u ovalado Quirúrgico: Switch de Jatene Cardiopatía congénita cianótica + frecuente al